
Sigillature dei solchi e delle fessure
- Pubblicato in Blog
- Letto 1409 volte
Le sigillature dei solchi e delle fessure sono otturazioni meccaniche che vengono effettuate per correggere le anomalie dello smalto dentario presenti nelle superfici masticatorie dei molari, dei premolari e, in alcuni casi, sulla superficie palatale dei denti anteriori impedendo alla placca batterica di penetrarvi dentro.
PERCHE’ FARE LE SIGILLATURE
Perchè i bambini, solitamente, non riescono a spazzolare bene, soprattutto, i molari ed i premolari e nei solchi e nelle fessure si possono depositare residui di cibo e batteri che favoriscono la formazione di carie.
COME SI EFFETTUANO LE SIGILLATURE
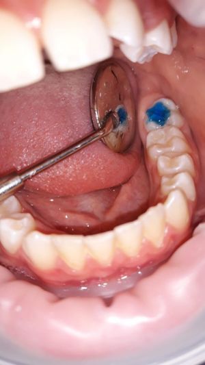
- 1. isolare il dente mediante l’utilizzo della diga, cioè un telo colorato in lattice necessario per isolare il dente oppure tramite rulli di cotone;
- 2. si applica sul dente un gel mordenzante a base di acido ortofosforico al 37% che ne aumenta la ruvidità superficiale per garantire una maggior adesione del prodotto sigillante;
- 3. la sigillatura si effettua utilizzando una resina composita fluida che viene applicata nei solchi dei denti per mezzo di un dispenser oppure di un apposito pennellino. La resina è di colore bianco o trasparente e da fluida viene trasformata in solida grazie all'utilizzo di una lampada definita fotopolimerizzante.
INDICAZIONI
Le sigillature vengono consigliate a partire dall'età di sei anni (età di eruzione dei primi molari permanenti). Gli altri denti possono essere sigillati di volta in volta che nascono solitamente tra gli undici e i quattordici anni.
CONTROINDICAZIONI
Non esistono controindicazioni.
QUANTO DURA L’EFFETTO PROTETTIVO
Le sigillature durano molti anni. Il dentista dovrà controllarle periodicamente per verificare che siano sempre inalterate e quindi efficaci, perchè possono consumarsi.
F.to Dott. Giuliano Rocchetti
Medico Chirurgo Odontoiatra